Cedimat realiza la primera gammagrafía cardíaca con Regadenoson
Nueva herramienta diagnóstica mejora la detección temprana de enfermedad coronaria

Los Centros de Diagnóstico y Medicina Avanzada y de Conferencias Médicas y Telemedicina (Cedimat) marcaron un nuevo hito en la medicina dominicana al realizar con éxito la primera gammagrafía cardíaca utilizando el vasodilatador Regadenoson, un fármaco de última generación que mejora significativamente la precisión y seguridad de los estudios de perfusión miocárdica.
El procedimiento fue llevado a cabo por el equipo de Imágenes Cardíacas de Cedimat, reforzando el liderazgo del centro en la implementación de tecnología médica avanzada en el Caribe y Latinoamérica.
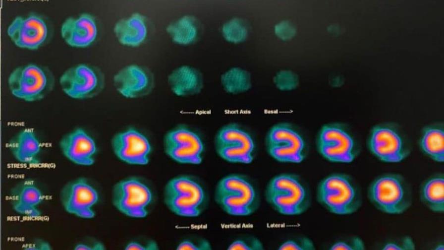
La gammagrafía cardíaca, también conocida como estudio de perfusión miocárdica, evalúa el flujo sanguíneo al corazón durante el reposo y el estrés. El Regadenoson es un vasodilatador selectivo aprobado por la Administración de Alimentos y Medicamentos, en sus siglas en inglés (FDA), ampliamente utilizado en los centros cardiovasculares más prestigiosos del mundo. A diferencia de otros agentes farmacológicos, su uso permite una mayor tolerancia por parte del paciente, menos efectos secundarios y una mayor exactitud diagnóstica en la evaluación de la perfusión del músculo cardíaco.
Uso del medicamento en pacientes
Este medicamento se utiliza en pacientes que no pueden realizar ejercicio físico, para simular el esfuerzo cardíaco y detectar obstrucciones o áreas con irrigación reducida. El Regadenoson provee mayor seguridad y tolerancia, reduciendo significativamente los efectos secundarios como el dolor de cabeza, hipotensión o broncoespasmo, o las arritmias inducidas por la Dobutamina. Este nuevo fármaco es de administración más simple, lo que acorta el tiempo total del estudio y se puede utilizar en pacientes con asma o enfermedad pulmonar crónica leve, que antes no eran candidatos por riesgo de complicaciones.
Cedimat, 25 años de tecnología de punta al servicio de los pacientes
Cedimat realiza la primera jornada de ablación de nódulos tiroideos por radiofrecuencia
Antes del año 2014, este tipo de estudio se realizaba en el país utilizando Dipiridamol como agente vasodilatador farmacológico. Sin embargo, en los últimos años este protocolo había dejado de implementarse en la República Dominicana debido a limitaciones técnicas y de disponibilidad.
"Con la incorporación del Regadenoson, seguimos elevando los estándares de diagnóstico cardiovascular en República Dominicana. Este avance nos permite ofrecer un estudio más rápido, seguro y cómodo para el paciente, manteniendo la excelencia que caracteriza a Cedimat", destacó el equipo de Cardiología e Imágenes Cardíacas de Cedimat.
Resaltó, que, desde el centro, extiende una invitación especial a los cardiólogos e internistas del país a referir a sus pacientes para la realización de este estudio. El uso de Regadenoson abre oportunidades diagnósticas a pacientes que no pueden realizar ejercicio físico o contraindicaciones para otras opciones farmacológicas.
Cedimat reafirma así su compromiso con la innovación médica, la formación de especialistas y la mejora continua de los servicios de salud de alta complejidad en el país.
